DIVINARA CLINICقوّم أسنانك بثقة باستخدام أحدث حلول التقويم
غير مرئي، مريح، وفعّال
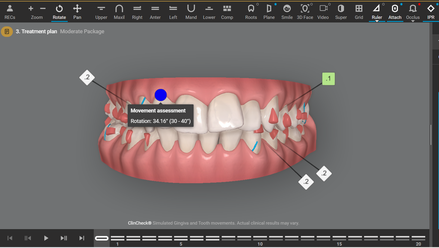
اكتشف كيف يمكن للتقويم الشفاف أن يغيّر أكثر من مجرد ابتسامتك. من تصحيح العضّة إلى تحسين التنفس، استكشف المزايا الكاملة.

دقة مثبتة للحالات المعقّدة
يظل التقويم المعدني والسيراميكي المعيار الذهبي للحالات المعقّدة. مع التطورات الحديثة، أصبح أكثر راحة وجمالاً من أي وقت مضى.

التقويم الكلاسيكي
🔍
متين وفعّال لجميع أنواع سوء الإطباق

تقنية حاصرات الماس المتطورة لأداء ومظهر متفوق

علاج أسرع مع احتكاك أقل وزيارات أقل

كل علاج مصمّم خصيصاً لبنية أسنانك